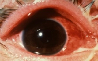
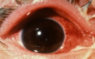
결막은 밖으로 노출되어 있어서 항상 여러 종류의 미생물들이 침범하기 쉽고 먼지, 꽃가루, 약품, 촤장품 등 수많은 항원들과도 쉽게 접촉하고 있어 결막염은 미생물뿐만 아니라 유기 및 무기물의 독성 및 면역성 등에 의하여 생기게 된다. 결막염은 결막에서 눈의 분비물이 나오며 눈곱이 끼고 충혈이 있는 질환으로 그 원인에 따라 세균성 결막염, 바이러스성 결막염, 알레르기성 결막염, 화학적 결막염 등으로 분류되며 이중 전형적인 결막염의 증상을 일으키는 것은 바이러스성 결막염이다.

세균성 결막염에는 카타르성 결막염, 임균성 결막염, 결막 결핵 등이 있으며 보통 한쪽 눈에서 시작하여 환자의 손에 의해 반대쪽 눈으로 전염되고 다른 사람에게도 전파된다. 임상적인 증상으로는 많은 양의 화농성 눈곱이 끼지만 통증이나 시야 흔들림은 없다. 치료는 원인균에 감수성이 있는 항균제를 사용하도록 한다. 바이러스성 결막염은 그 원인균에 따라 유행성 각결막염, 인두 결막염, 급성출혈성 결막염, 단순포진성 결막염으로 나눈다.

세균성 결막염에는 카타르성 결막염, 임균성 결막염, 결막 결핵, 포도상구균 등의 일반화농균, 코호-위크스균, 몰락스-악세펠드균, 디프테리아균 등으로 인한 결막염으로 결막충혈, 종창, 눈꼽, 유루 등의 카타르성병상을 나타내고 보통 한쪽 눈에서 시작하여 환자의 손에 의해 반대쪽 눈으로 전염되고 다른 사람에게도 전파된다. 임상적인 증상으로는 많은 양의 화농성 눈곱이 끼지만 통증이나 시야 흔들림은 없다. 치료는 원인균에 감수성이 있는 항균제를 사용하도록 한다.

바이러스성 결막염은 그 원인균에 따라 유행성 각결막염, 인두 결막염, 급성출혈성 결막염, 단순포진성 결막염으로 나눈다. 유행성 각결막염은 아데노바이러스에 기인한 급성 결막염으로 이물감이 있고 눈물이 나고, 눈이 부시고 통증이 있다. 귀밑의 임파선도 부어올라 오래 가는 경우 몇 개월씩도 간다. 인두 결막염은 아데노바이러스 3형과 때로 4, 7형에 의한 급성 안질환, 이들 바이러스는 주로 상기도를 통해 옮기지만 흔히 여름철 풀장에서 일어나는 경우가 많다.

급성 출혈성 결막염은 엔테로 바이러스 제70형에 의한 안질로 흔히 아폴로 눈병으로 잘 알려져 있다. 잠복기는 8~48시간이며 경과가 5~7일로 빠른 것이 특징이다. 증상은 동통, 이물감, 눈부심, 결막 충혈과 함께 결막 부종이 심하며 광범위한 충혈이 생긴다. 단순 포진성 결막염은 드물게 나타나는 데 어린아이에게 많이 발생한다. 결막에 때로 위막을 형성하고 각막염이 함께 나타날 수 있으며 결막염은 2~3주간 지속된다.

트라코마는 감염 질환의 하나로 심각하며 지속적인 질환으로 이로 인해 종종 각막 및 결막에 영구적인 흉터성 합병증을 남겨 심한 시력장애를 초래하기도 한다. 크라코마에 의한 것으로 수건, 눈화장품 등으로 전염된다. 증상으로 눈물이 많이 나오고 좁쌀만한 여포가 검결막에 많이 생기며 검 결막이 깨끗하지 못한 것이 특징이다. 예방이나 치료 때 위생적인 처치가 중요하다. 각막에 반흔이 있을 때에는 각막이식을 해야 한다.

알레르기성 결막염에 고초열성 결막염은 대개 꽃가루, 풀, 동물성 털등에 대한 알레르기 병력을 가진 사람에게 나타나며 보통 고초열 증상과 함께 가벼운 비특이성 결막염이 나타난다. 가려움증, 출혈, 눈물, 원인이 되는 항원을 없애야 한다. 춘계 결막염은 봄, 여름에 양쪽 눈에 발병하고 더운 지방에서 흔하다. 증상으로는 가려움, 점액성 분비물 및 충혈, 눈곱이 낀다. 치료는 경과를 단축시키고 병발증을 막아야 하며, 스테로이드제제를 단기간 사용하면 가려움증을 줄일 수 있다.

화학성 또는 자극성 결막염은 점안약, 화장품, 머리염색 및 자극성이 있는 방제가 들어 있는 약물을 장기간 사용했을 때 발생한다. 눈꺼풀의 붓고 가려운데 이럴 때 즉시 물이나 생리직염수로 결막낭을 충분히 세척한다. 최근에는 중국에서 날아오는 황사에의한 자극성 결막염이 많이 발생한다. 황사의 미세먼지에 들어 있는 석영, 알루미늄, 구리, 카드뮴이나 납 등의 유해 성분이 결막에 자극을 일으켜서 염증이 생길 수 있다.
'건강 > 건강관리 필수 정보' 카테고리의 다른 글
| 급성망막궤사증은 완전실명에 이를 수 있는 질병이다. (0) | 2021.04.18 |
|---|---|
| 손에 나타나는 건강 이상 신호에는 손가락 마디 살, 불그스레한 손바닥, 곤봉 형 손가락, 손가락에 튀어나온 혹, 과도한 땀 등이 있다. (0) | 2021.04.18 |
| 각막 위 군살의 원인과 증상, 치료와 예방. (0) | 2021.04.16 |
| 중년은 무리하면 안 된다는 것을 알면서도 위험을 자초하는 경향을 나타내고 있다. (0) | 2021.04.16 |
| 시력의 이상의 종류에는 근시, 원시, 난시 등이 있다. (0) | 2021.04.14 |