치주염은 치아를 제자리에 잡아주는 역할을 하는 잇몸조직에 염증이 생기는 질환으로 진행성 염증, 치조골 소실 및 치아 소실이 일어나기도 한다. 이러한 치주염과 고혈압 사이에 연관성이 있다는 것이 밝혀지고 있다. 치주균이 잇몸을 손상시키고 고혈압 등 전신질환 발병에 영향을 미칠 수 있는 염증반응을 유발하고 있다는 것도 발견하였다. 이는 잇몸 질환과 혈압 증가 사이의 연관성이 고혈압 발병 훨씬 전에 일어난다는 것을 의미한다고 한다.

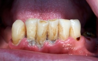
치주질환은 치아를 둘러싸고 있는 치은과 치주인대 및 치조골 등 치아 주위조직에 나타나는 질환을 말한다. 치주질환은 흔히 풍치라고도 하는데 병의 정도에 따라 치은염과 치주염으로 나뉜다. 배교적 가볍고 회복이 빠른 형태의 치주질환으로 잇몸 즉 연조직에만 국한된 형태를 치은염이라고 하고 이러한 염증이 잇몸과 잇몸 뼈 주변까지 진행된 경우를 치주염이라고 한다. 치주질환은 연령과도 관계가 깊어 나이가 들수록 많은 비율로 치주질환을 가지고 있다.

치주질환의 직접적인 원인은 치아에 지속적으로 형성되는 플라크라는 세균막이다. 플라크는 끈적끈적하고 무색이며 이것이 제거되지 않고 단단해지면 치석이 된다. 일단 치석이 만들어지면 그 표면이 거칠어서 세균막이 점점 더 쌓이기 좋은 상황이 된다. 잇몸 근처에 부착된 세균막에서 독소를 방출하면 주변 조직에 염증반응이 나타나고 그 결과로 치아를 지행채 주는 조직이 손상되는 것으로 알려져 있다.
'건강 > 건강관리 필수 정보' 카테고리의 다른 글
| 두뇌 훈련 방법에는 외국어, 음악, 게임, 영화, 퍼즐 등이 있다. (0) | 2021.04.01 |
|---|---|
| 장이 건강하면 외로움을 덜 느낀다. (0) | 2021.04.01 |
| 하지불안증후군은 잠잘 때 다리 위로 벌레가 기어다니는 느낌이 나타난다. (0) | 2021.03.31 |
| 침샘암 자가검진법 (0) | 2021.03.31 |
| 아연 권장량을 꼭 먹어야 하는 이유 (0) | 2021.03.31 |